Békéscsaba, Kolozsvári u. 33.
30/25-88-255

Egyedi technikák

Üvegszálas fogpótlás

8 éves tapasztalatom üvegszál megerősítésű hidakkal A mai világ egyre növekvő esztétikai elvárásokkal és egyre inkább minimál invazív eljárások igényével áll elő. A technológiai fejlődés a fogászatban is egyre jobb minőségű tömőanyagok megjelenését teszi lehetővé. Ilyenek például a nanokompozitok és az üvegszálak. A mikro méretű üvegszálak és az üvegrostok új perspektívákat és lehetőségeket nyitottak meg a fogászat világában. Az üvegszálak szilanizálása valódi kötést hoz létre a tömőanyag és az üvegszálak között, létrehozva egy új ANYAG-EGYSÉGET. Egymást kiegészítve és megerősítve, úgymond szinergikus hatást érve el. Együttes alkalmazásuk megnöveli a kompozitok szakító-, és hajlítószilárdságát, illetve törési ellenállóságát, így „kisebb” fesztávolságok áthidalására is alkalmassá válnak, lehetőséget nyújtva ideiglenes vagy akár tartós fogpótlásra. A tudatos és helyes technikai lépések betartásával, az üvegszál-rostokkal megerősített direkt Maryland-híd hosszú távú restaurátummá válhat. Ezzel egy gyorsan elkészíthető, esztétikus, szervezet kompatibilis, minimál invazív restaurátum készítésére ad lehetőséget.

Előtte

Before 1

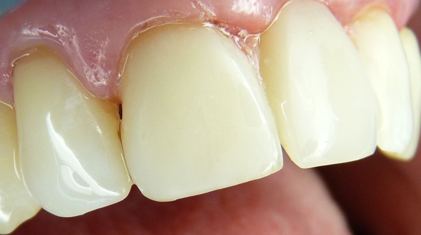
Utána

After 1